Home Vanguardia

Vanguardia

Canal 13 pide declarar desierta licitación por el Fest...

A través de un comunicado, la exseñal católica aseguró que la propuesta de Mega para transmitir el certamen de la Ciudad Jardín transgrede 6 puntos de las bases de la licitación.

Condenan a 18 meses de cárcel a armera de “Rust”: Fue ...

El dictamen fue entregado por la jueza de Nuevo México, Marlowe Summer, quien también supervisa los procedimientos contra el actor Alec Baldwin.

Reportan que Henry Cavill y su novia serán padres por ...

El actor de “Superman” y su pareja, Natalie Viscuso, fueron captados este fin de semana en Nueva York, y rápidamente se viralizó un registro en el que la mujer lucía un ajustado vestido que dejaba ver su vientre abultado.

Revelan que Daniela Aránguiz se sumará a conocido prog...

Según información del portal Infama, la ex “Mekano” tendría acordada su llegada a un espacio televisivo, al cual llegaría ocupando el lugar de una panelista que recientemente abandonó el programa.

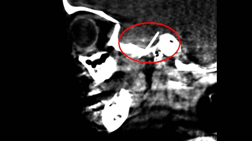
VIDEO: Salvan a una niña de 4 años que tenía una aguja...

Un curioso caso médico se produjo en el Hospital Sant Joan de Déu, de Barcelona, según informó La Vanguardia. Allí, una niña de cuatro años fue sometida a una inusual cirugía para extraerle una aguja que tenía alojada en el cerebro. La operación fue todo un éxito y la niña no tendrá más secuelas que la cicatriz que le dejó la intervención en el lado derecho de la cabeza.

VIDEO: Miles de linternas volantes en China para celeb...

En Asia, las linternas volantes, o también conocidas como Kong Ming, son un recurso muy habitual para festejar cualquiera de los festivales o celebraciones que se desarrollan a menudo esta parte del mundo. Su presencia es muy llamativa por el color que adoptan estos farolillos y a la multitud de unidades que se lanzan.

Pato Oñate realiza duro descargo contra un diputado po...

El recordado notero criticó fuertemente al parlamentario UDI, Fernando Bórquez, a raíz de una condolencia que envió este último. “No tengo nada contra ti, pero es mejor que no lo hubieras hecho, porque las cosas mal hechas no se hacen”, comentó.

María José Prieto reflexionó tras acusación de Cristiá...

Tras la polémica que envuelve a su esposo, la intérprete nacional utilizó su cuenta de Instagram para vertir una profunda reflexión.

Shakira anunciará este martes las primeras fechas de “...

La colombiana adelantó su anuncio durante su actuación sorpresa en el festival Coachella 2024, donde realizó su performance junto al productor argentino Bizarrap. “Hoy no me puedo contener, hoy tengo que contarles algo. Biza, ¡me voy de gira!”, vociferó.

VIDEO: Tras 9 años de silencio, No Doubt se reunió en ...

Durante la segunda jornada del festival Coachella 2024, el cual se celebra en Indio, California, el grupo No Doubt volvió a pisar un escenario luego de un silencio que se extendió por 9 años. Los dos puntos más altos de la noche fueron las interpretaciones de “I’m Just a Girl” y “Don’t Speak”, éxitos que fueron coreados por los asistentes. La única invitada por la agrupación fue Olivia Rodrigo, quien subió al escenario a interpretar “Bathwater”.

Síguenos

60,813FansLike
10,000SeguidoresSeguir
346,900SeguidoresSeguir

Últimas Noticias